Diario El Independiente
Diario El Independiente

Noticias de BCS, México y el mundo.


Hoy es miercoles, 25 de febrero de 2026

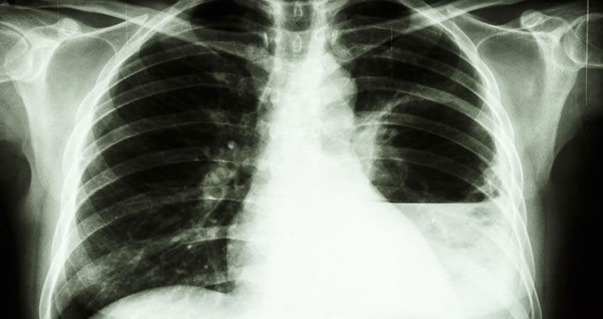
Reporta la SSA 4 muertos por infección de melioidiosis

• En 2023 se reportaron 5 pacientes de los cuales 4 fallecieron; los síntomas son fiebre súbita, lesiones en tejidos blandos sin respuesta y complicaciones respiratorias de evolución rápida.

Reporta la SSA 4 muertos por infección de melioidiosis

La Paz, Baja California Sur. – La tarde de este domingo Secretaría de Salud (SSA) de Baja California Sur (BCS) emitió un aviso epidemiológico por Melioidiosis, que es una enfermedad infecciosa causada por la bacteria Burkholderia pseudomallei que puede afectar a seres humanos y animales que tengan contacto directo con suelo y agua contaminados, pero que también puede transmitirse por inhalación de polvo o gotas de agua contaminadas, ingestión de agua contaminada e ingestión de alimentos contaminados con el suelo.


Este aviso, que está dirigido a centros de salud, clínicas y hospitales, tanto públicos como privados, tiene el objetivo de que el personal de primer contacto esté atento a la sintomatología asociada a esta enfermedad, pero también a los antecedentes epidemiológicos de las y los pacientes, a fin de realizar los procedimientos necesarios para su detección y tratamiento oportuno, dijo la titular del ramo en la entidad, Zazil Flores Aldape.


En este sentido dijo que las personas que presenten fiebre súbita, lesiones en tejidos blandos sin respuesta, complicaciones respiratorias de evolución rápida deben acudir a consulta para una valoración profesional, al puntualizar que entre las medidas preventivas resalta evitar el contacto con suelo, agua contaminada y/o estancada, especialmente después de lluvias; usar botas impermeables durante y después de inundaciones o tormentas para prevenir la infección. Usar calzado y guantes protectores al realizar trabajos en el jardín o agricultura. Proteger heridas abiertas, cortes o quemaduras. Lavar a fondo cualquier herida abierta, corte o quemadura que entre en contacto con el suelo, así como evitar beber agua no tratada y comer alimentos crudos o mal cocidos.


Luego de presidir la sesión del Comité Estatal de Epidemiología (CEVE), en la que se emitió este aviso, la médica señaló que esta enfermedad puede permanecer latente durante años sin presentar mayores complicaciones, pero también puede desarrollar formas agudas en personas con factores de riesgo como es padecer diabetes, enfermedades crónicas que generan supresión inmunológica, así como el consumo habitual de alcohol. En estos casos la patología puede ocasionar neumonías, septicemia e infecciones localizadas en varios órganos, detalló.


El comité, que se integra por todas las instituciones públicas de salud en la entidad, tomó la decisión de emitir este aviso debido a que, a través del Sistema de Vigilancia Epidemiológica de Enfermedades por Bacterias Invasivas, se confirmaron cinco casos de melioidosis desde la primera semana de noviembre 2023, de los cuales cuatro derivaron en desenlaces fatales, de ahí la importancia en fortalecer su seguimiento y atención, comentó.